
Estética Dental en Torrefiel, Valencia: Tu mejor sonrisa
En Tossal Dental, creemos que una sonrisa bonita es la mejor carta de presentación. Por eso, somos especialistas en estética dental en Torrefiel, Valencia, combinando tecnología de vanguardia con un análisis facial personalizado.
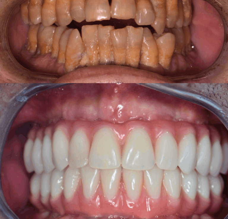
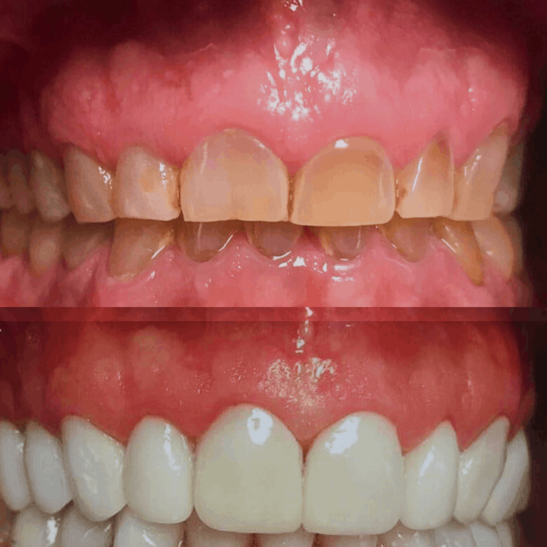
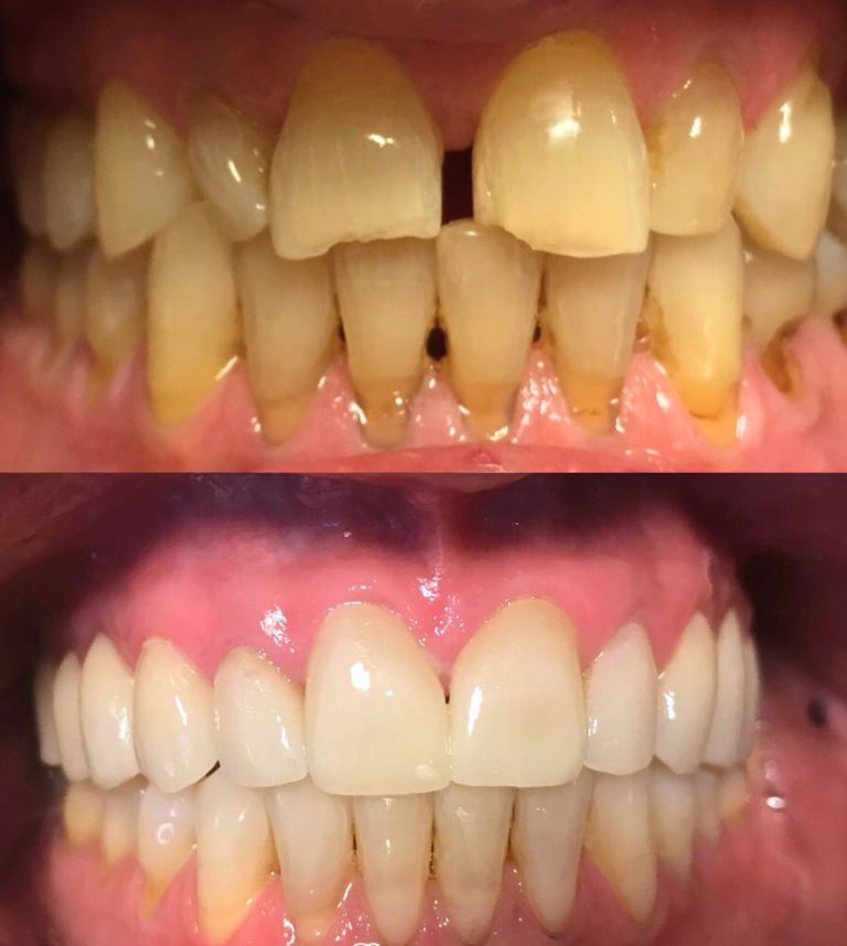
No se trata solo de dientes blancos, sino de armonía. Realizamos tratamientos de blanqueamiento dental profesional y carillas dentales de alta gama para corregir forma, color y posición, logrando resultados naturales que transforman tu seguridad al sonreír.
¿Quieres ver cómo quedaría tu sonrisa? Pide tu cita de valoración estética gratuita en Torrefiel

Carillas Dentales en Torrefiel: Porcelana y Composite
Transformación inmediata en Valencia
La solución definitiva para corregir imperfecciones. Diseñamos tus carillas a medida para que encajen perfectamente con tu rostro, mejorando la forma y el color de forma permanente.
Las carillas dentales son láminas ultrafinas que se adhieren a la parte frontal del diente para corregir problemas de color, forma, tamaño o alineación. En Tossal Dental Valencia somos especialistas en:
Carillas de Porcelana: Ideales para quienes buscan la máxima durabilidad y una resistencia superior a las manchas de café o tabaco.
Carillas de Composite: Una solución más rápida y económica, realizada directamente sobre el diente, perfecta para pequeñas correcciones estéticas en una sola sesión en nuestra clínica de Torrefiel.
Blanqueamiento Dental Profesional y Seguro
Elimina las manchas y devuelve el brillo a tus dientes con nuestro sistema de blanqueamiento profesional, seguro para tu esmalte y con resultados visibles desde la primera sesión.
Nuestro protocolo combina la fotoactivación en clínica con un seguimiento personalizado con nuestra especalista la Dra. Ofelia Mendoza logrando una reducción significativa de varios tonos en el espectro cromático sin comprometer la integridad estructural de la dentina ni la salud gingival.


Arquitectura de la Sonrisa mediante Diseño Digital
La predictibilidad es el pilar de nuestra práctica clínica. Mediante el uso de tecnología de escaneado intraoral 3D, realizamos un análisis computarizado de las proporciones faciales y dentales.
Este sistema nos permite previsualizar el resultado final y validar la oclusión y la estética con el paciente antes de proceder a cualquier intervención irreversible.
Preguntas Frecuentes sobre
Estética dental en Valencia
¿Qué criterios determinan la elección entre composite o porcelana? La elección depende de los objetivos clínicos y el estado del esmalte. Mientras el composite es ideal para correcciones sutiles y mínimamente invasivas, la porcelana se recomienda para pacientes que buscan una estética premium con una durabilidad superior a los 15 años.
¿Existe riesgo de sensibilidad post-tratamiento en el blanqueamiento? Nuestros protocolos incluyen agentes desensibilizantes y protectores gingivales de última generación que minimizan cualquier molestia, permitiendo una recuperación inmediata del paciente tras la sesión en nuestra clínica de Torrefiel.
¿Es necesaria la preparación del diente para la colocación de carillas? En la mayoría de los casos actuales, aplicamos técnicas de "mínima preparación" o carillas sin tallado, preservando al máximo el tejido dentario original del paciente.
