ESPECIALISTAS EN IMPLANTES EN TORREFIEL VALENCIA
Recupera la funcionalidad de tu boca y la confianza de tu sonrisa con tecnología de vanguardia y materiales de alta gama.

¿Por qué elegir nuestros implantes?
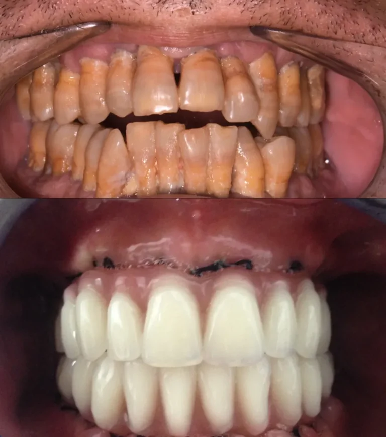
Perder una pieza dental afecta a tu forma de comer, hablar y, sobre todo, a tu seguridad. En Tossal Dental Valencia, realizamos rehabilitaciones orales pensando en la durabilidad y la estética natural.
Benefinicios de nuestros implantes dentales
Diagnóstico 3D: Planificación digital exacta para una cirugía mínimamente invasiva y segura.
Alta Gama: Implantes biocompatibles de máxima calidad que garantizan una integración perfecta.
Sin Dolor: Técnicas modernas que aseguran un proceso cómodo y una recuperación rápida.
IMPLANTES DE CARGA INMEDIATA VALENCIA
Con la carga inmediata, colocamos tu prótesis fija provisional el mismo día de la intervención. La Dra. Ofelia Mendoza, especialista en prótesis sobre implantes, diseña cada pieza a medida para garantizar una estética natural y una funcionalidad perfecta desde el primer momento.

Gracias a tecnologías como el TAC dental, planificamos el proceso con precisión para que recuperes tu función y estética sin esperas.
Los implantes de carga inmediata son una solución eficiente que reduce los tiempos de espera y el impacto de la pérdida dental, mejorando la experiencia del paciente en su día a día.

Recupera tu estética en un solo día si cumples estas condiciones:
- Salud general: Correcta cicatrización.
- Hueso firme: Estabilidad para el implante.
- Encías sanas: Sin infecciones activas.
Comodidad: Sin usar prótesis de "quitar y poner".

El proceso se divide en cuatro pasos:
- Planificación 3D: Diagnóstico con TAC para analizar el hueso.
- Cirugía y Prótesis: Colocación del implante y diente provisional en la misma sesión.
- Osteointegración: Periodo de unión del implante con el hueso.
- Diente Definitivo: Sustitución de la pieza provisional por la corona final.

INJERTO DE HUESO DENTAL EN TORREFIEL VALENCIA
Muchos pacientes posponen sus implantes por miedo a que les digan que "no tienen suficiente hueso".
En Tossal Dental, bajo la dirección de la Dra. Silvia Gutiérres utilizamos técnicas avanzadas de regeneración ósea para que cualquier persona pueda recuperar sus dientes fijos, sin importar cuánto tiempo haya pasado desde la pérdida dental.
¿Qué es el injerto de hueso dental?
El injerto de hueso es un procedimiento quirúrgico menor que consiste en aumentar el volumen y la densidad de la mandíbula o el maxilar.
Es el paso previo necesario cuando el hueso se ha reabsorbido y no ofrece soporte suficiente para sujetar un implante dental con éxito.

Puente sobre implante
Cuando faltan una o más piezas seguidas, un puente dental es la solución ideal para devolver la estética y la fuerza a tu mordida. En nuestra clínica en Torrefiel.
Cómo funciona: Se apoya en los dientes naturales vecinos (pilares).
Ventaja: Solución rápida y estética sin necesidad de cirugía.

Preguntas Frecuentes sobre
Implantes dentales en Valencia
¿Duele ponerse un implante dental? No. Se realiza con anestesia local y, si lo prefieres, con sedación consciente. Solo sentirás una ligera presión.
¿Cuántos años dura un implante dental? Con una buena higiene y revisiones regulares, los implantes pueden durar toda la vida.
¿Me pueden poner dientes fijos el mismo día? Sí, gracias a la carga inmediata, podemos colocar una prótesis provisional fija en la misma sesión de la cirugía.
¿Se pueden poner implantes si no tengo hueso?Realizamos técnicas de injerto de hueso para crear la base necesaria y que puedas recuperar tus dientes con seguridad.
¿Tienes dudas sobre los implantes dentales?
Si tienes dudas sobre tu caso, en Tossal Dental realizamos una primera visita gratuita en Valencia para valorar tu situación sin compromiso.
